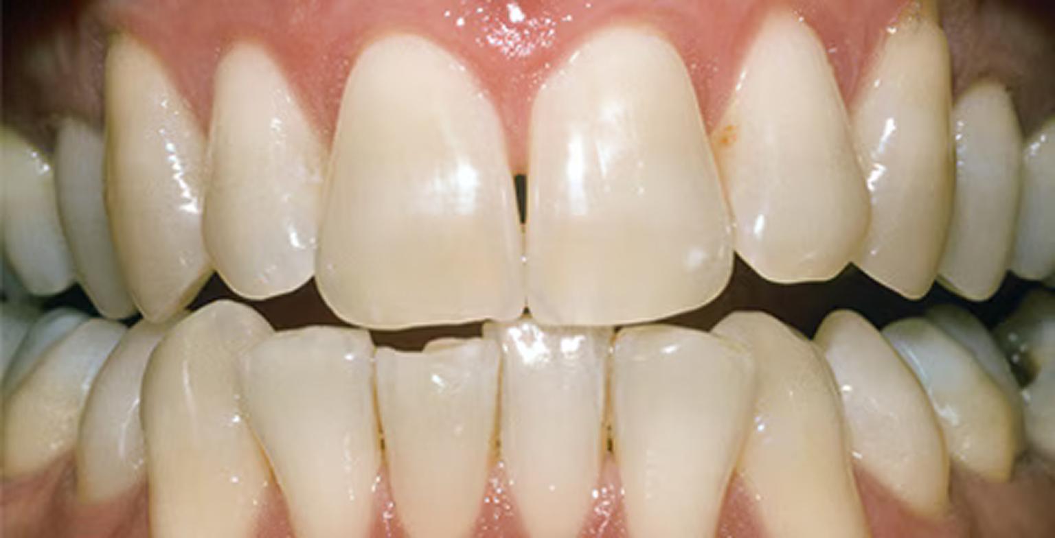
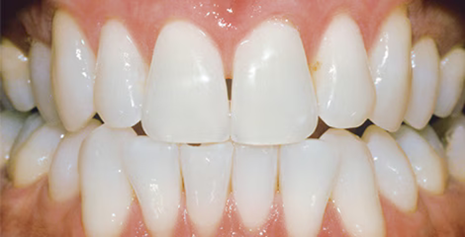
Philips Zoom! WhiteSpeed
Tratamiento de blanqueamiento en consultorio
Con Philips Zoom! WhiteSpeed podés lograr una sonrisa más blanca con tan sólo 45 minutos de tratamiento en el consultorio de tu dentista.¹ Además, el sistema de Philips ofrece unos resultados y una eficacia clínicamente superiores frente a otras alternativas de blanqueamiento profesional.
En un estudio realizado en EE.UU, WhiteSpeed obtuvo unos resultados un 50% mejores que los métodos de la competencia que no emplean luz inmediatamente después del tratamiento, así como tras 7 y 30 días.² Cuando se combina con un impulsor del pH en el gel blanqueante, la avanzada tecnología de LED azul de WhiteSpeed acelera enormemente el proceso de blanqueamiento para ofrecer resultados espectaculares en tan solo una visita al consultorio.
¹ No incluye el tiempo de preparación.
² En comparación con los principales competidores que no emplean luz.











